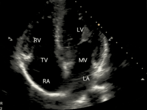
At Concierge Cardiology of MT, we firmly believe patients of all ages should have access to various options for heart screening. That’s why we offer heart screening services, including consultations, electrocardiograms (ECGs/EKGs), and echocardiograms (heart ultrasound). Dr. Hua, our experienced cardiologist, is passionate about providing the best care possible to our patients.
Patients will receive comprehensive care and attention during the consultation visit with Dr. Hua. It’s an opportunity to take charge of your heart health and make informed decisions about your future. Dr. Hua can guide you through every step of the process and give you the knowledge you need to make the best choices for you and your family.
We want you to feel confident and secure in your healthcare choices, and we’re here to help every step of the way.
Heart Screening Tests
Simple. Transparent. No surprises.
At Dr. Hua’s practice, we believe in providing top-quality healthcare without the hassles of insurance. And even though we don’t process billing for other insurances, we can provide you with a detailed bill that you can submit to your insurance provider for potential reimbursement. It’s important to note that you can still take advantage of our services if you have out-of-network benefits. We encourage you to connect with your insurance provider to understand the extent of your benefits. With Dr. Hua’s practice, you can be confident that you’re receiving the best care possible without the burden of insurance. Better yet, there is no co-pay and no facility fee.
What is Direct Care Medicine?
Are you tired of dealing with insurance companies that dictate your healthcare choices and payment options? Direct Care Medicine, also known as Direct Specialty Care (DSC) or Concierge Medicine, is your solution. With Direct Care Medicine, you can enjoy a direct relationship with your physician and focus solely on your well-being. No more middlemen, no more insurance headaches. Instead, pay a flat or periodic membership fee and receive personalized, high-quality care that puts YOU first. Choose Direct Care Medicine for a modern approach to healthcare that truly values your health and happiness.
Contact us for your heart screening today!
We request cash, checks, FSA/HSA cards. There is a 3% convenience fee for credit cards. Payment is due at appointment check-in.


